

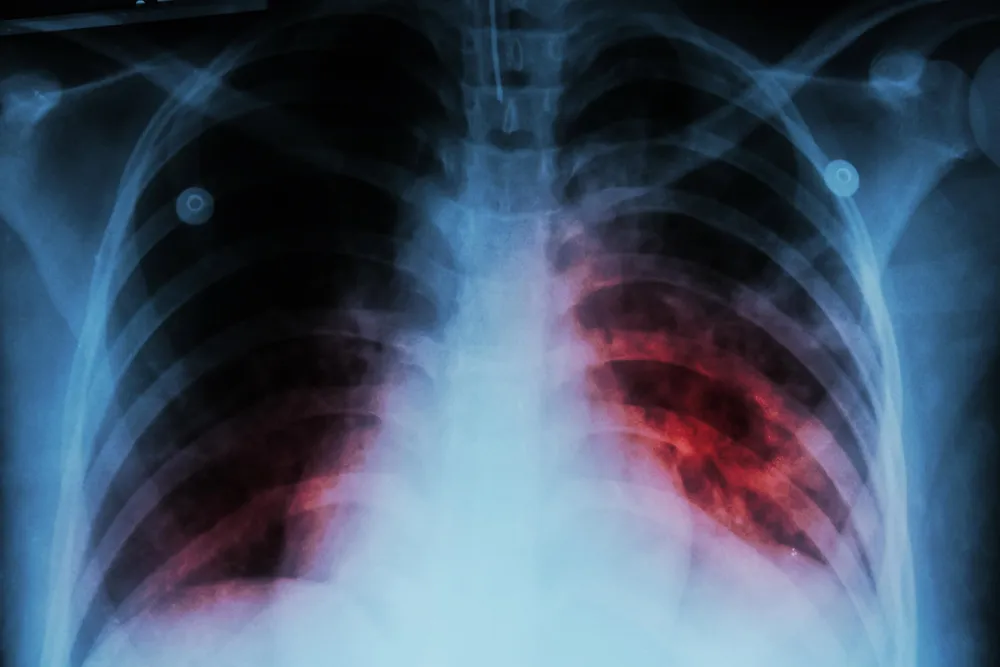
Habrían detectado un caso positivo de tuberculosis en un niño de la ciudad de Caleta Olivia.
Noticia en desarrollo
Lo más visto


Milei viaja a Estados Unidos en busca de inversiones, sin reunión prevista con Donald Trump
Redacción I24
Política05 de noviembre de 2025
Cayó una avioneta narco en Salta y secuestraron 130 kilos de cocaína
Redacción I24
Nacionales05 de noviembre de 2025
Autoridades del Hospital Garrahan decidieron no percibir el aumento salarial del 61%
SS
05 de noviembre de 2025



